کلینیک دندانپزشکی دکتر صفری
سلامتی و زیبایی لبخند شما، اولویت ماست!
به وبسایت دکتر زهرا صفری، دندانپزشک متخصص و با تجربه خوش آمدید. در اینجا ما با بهرهگیری از دانش روز، تجهیزات پیشرفته و رویکردی مبتنی بر مراقبت فردی، بهترین خدمات دندانپزشکی را به شما ارائه میدهیم.
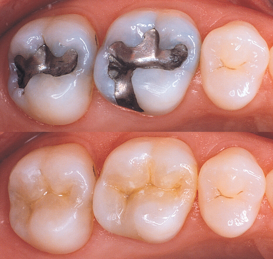
– ترمیم و زیبایی دندانها
– ایمپلنت و پروتزهای دندانی
– درمان ریشه (اندودنتیکس)
– ارتودنسی و اصلاح طرح لبخند
– جرمگیری و سفید کردن دندانها
– خدمات دندانپزشکی کودکان
دکتر زهرا صفری و تیم مجرب ایشان با تعهد به بالاترین استانداردهای درمانی و رعایت کامل بهداشت، محیطی امن و آرامشبخش را برای مراجعین محترم فراهم کردهاند. ما به شما اطمینان میدهیم که در هر مرحله از درمان، همراهتان خواهیم بود تا لبخندی سالم و زیبا را به شما هدیه کنیم.
برای دریافت نوبت یا مشاوره، همین امروز با ما تماس بگیرید.
ما افتخار داریم که میتوانیم به شما و خانوادهتان خدمترسانی کنیم.
دکتر زهرا صفری
متخصص دندانپزشکی با سالها تجربه و تعهد به کیفیت
سلامت دهان و دندان به طور مستقیم با سلامت عمومی بدن ارتباط دارد. بسیاری از بیماریها و مشکلات جسمی از طریق دهان و ...
سلامت دهان و دندان یکی از ارکان مهم بهداشت عمومی است که تاثیر زیادی بر کیفیت زندگی و سلامت عمومی افراد دارد. رعایت ...
چگونه مسواک را پاکسازی کنیم: راهنمای کامل برای نگهداری و تمیزی مسواک مسواک زدن یکی از مهمترین و اصلیترین بخشهای بهداشت دهان و ...
بهترین زمان برای مسواک زدن: چه زمانی از روز مسواک بزنیم؟ مسواک زدن یکی از مهمترین اصول بهداشت دهان و دندان است که ...
سوالات متدوال شما از کلینیک دندانپزشکی دکتر صفری
آیا جرم گیری برای دندان مضر است ؟
خیر، جرمگیری به منظور حذف پلاک و رسوبات روی دندان ها و با دستگاه اولتراسونیک انجام میشود و پلاک هایی که موجب التهاب لثه میشوند را از بین میبرد در جرمگیری هیچ تراش و آسیبی به مینای دندان وارد نمیشود و برای دندان نیز ضرر ندارد.
چرا هنگام استفاده از نخ دندان دچار خونریزی لثه میشوم ؟
مرتب از نخ دندان استفاده نمیکنید، اگر هر روز نخ دندان بکشید در ابتدا چند روز اول لثه ها دچار خونریزی و تورم میشوند اما به مرور خوب میشوند.
اشتباه نخ دندان میکشید، با کمک دندانپزشک و آموزش اصولی این کار را انجام دهید.
علت آبسه دندان چیست ؟
ممکن است قسمت هایی از دهان و لثه شما دچار عفونت شده و یا به دلیل ترک خوردگی دندان یا بیماریهای مربوط به لثه باشد که با مراجعه به متخصص علت آبسه دندان مشخص میشود.
آیا ایمپلنت دندان درد دارد ؟
خیر، کاشت دندان با روش ایمپلنت یکی از راحت ترین جراحی های دهانی است که با کمک بی حسی های موضعی که در ابتدای درمان تزریق میشود، شما هیچگونه دردی را حین درمان احساس نخواهید کرد.
ارتودنسی دندان ها چقدر طول میکشد ؟
مدت زمان درمان ارتودنسی به مقدار ناهنجاری دندان ها در هر فک و نیز سن بیمار بستگی دارد، اما میانگین مدت زمان درمان ارتودنسی حدود ۲ سال است که فرد باید هر ۴ یا ۶ هفته توسط دندانپزشک خود معاینه شود.
اولین دندان شیری کودک در چه سنی رشد میکند؟
اولین دندان های شیری از ۶ ماهگی شروع به رشد میکنند و تا ۳ سالگی نیز رشد تمامی دندان ها کامل میشود.
علت بوی بد دهان چیست؟
بوی بد دهان میتواند دلایل مختلفی داشته باشد. بیماری های گوارشی، ریوی و یا بیماری های عفونتی در دهان باعث ایجاد بوی بد دهان میشود. برای از بین بردن بوی بد استفاده از نخ دندان و دهانشویه و همچنین مسواک زدن اصولی توصیه میشود.
علت عقب رفتگی لثه چیست ؟
دلایل متخلفی برای تحلیل لثه ها وجود دارد که یکی از شایع ترین دلیل تحلیل لثه، مسواک زدن نادرست یا مسواک با الیاف نامناسب است. تحلیل لثه نیازمند جراحی پیوند لثه است.
بلیچینگ دندان: روشها، مزایا و مراقبتهای پس از درمان بلیچینگ دندان یک روش رایج در دندانپزشکی است که به منظور سفید کردن دندانها ...
روکش ارتودنسی: کاربرد، مزایا و مراحل درمان روکش ارتودنسی یکی از روشهای درمانی است که در برخی از درمانهای ارتودنسی و دندانپزشکی برای ...
ترمیم دندان: انواع و مراحل درمان ترمیم دندان یکی از روشهای رایج در دندانپزشکی است که به منظور بازسازی و اصلاح دندانهای آسیبدیده، ...
درمان اندو دندان: توضیحات جامع و مراحل درمان درمان اندو، که بیشتر به نام درمان ریشه یا عصبکشی شناخته میشود، یک روش دندانپزشکی ...
کامپوزیت ونیر: بررسی کامل کامپوزیت ونیر یکی از روشهای محبوب و کارآمد در دندانپزشکی زیبایی است که برای بهبود ظاهر دندانها و ایجاد ...
مقدمه ایمپلنت دندان یکی از برترین دستاوردهای علم دندانپزشکی است که نه تنها زیبایی لبخند را بازمیگرداند، بلکه عملکرد طبیعی دندانها را نیز ...
سلامت دهان و دندان به طور مستقیم با سلامت عمومی بدن ارتباط دارد. بسیاری از بیماریها و مشکلات جسمی از طریق دهان و ...
سلامت دهان و دندان یکی از ارکان مهم بهداشت عمومی است که تاثیر زیادی بر کیفیت زندگی و سلامت عمومی افراد دارد. رعایت ...
چگونه مسواک را پاکسازی کنیم: راهنمای کامل برای نگهداری و تمیزی مسواک مسواک زدن یکی از مهمترین و اصلیترین بخشهای بهداشت دهان و ...
بهترین زمان برای مسواک زدن: چه زمانی از روز مسواک بزنیم؟ مسواک زدن یکی از مهمترین اصول بهداشت دهان و دندان است که ...